你是否曾经因为缺少一颗牙齿而感到尴尬?或者为了一个美丽的微笑而苦恼于寻找一种合适的恢复方式?现在,种牙微创手术成为了一种非常流行的恢复方式,它不仅恢复了你的美丽微笑,而且也可以极大地改善你的口腔健康。那么,种牙微创手术后多久恢复?种牙微创手术后的恢复期是多久?今天,我们将为你揭开这个谜底。

二、种牙微创手术是什么?

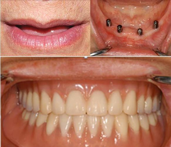
在介绍种牙微创手术后的恢复期之前,我们需要先了解一下这种手术。种牙微创手术是一种非常流行的牙齿恢复方式,它是通过将人造牙齿植入到牙龈和口腔中的牙槽骨中,以替代缺失的牙齿。这种技术既可以用于单个牙齿的恢复,也可以用于多个牙齿的恢复。

种牙微创手术的好处是显而易见的,它可以在不影响周围牙齿的情况下,使你的牙齿看起来更加自然。种牙微创手术也可以使你的牙齿更加稳定,防止周围的牙齿移动,还可以使你更加自信地展示你的美丽微笑。
三、种牙微创手术后多久恢复?
虽然种牙微创手术是一种非常流行的牙齿恢复方式,但是许多人都担心手术后的恢复时间。实际上,种牙微创手术后的恢复时间因人而异,具体情况取决于许多因素,包括手术的复杂程度、患者的年龄、患者的身体状况以及患者的饮食习惯等等。
种牙微创手术后的恢复时间大约需要1到2周的时间。在这段时间内,你需要注意以下几点:
1. 饮食方面:在手术后的第一天,你需要避免进食固体食物,只能食用软食或者流食,比如米粥、面条、炖肉等等。在手术后的第二天,你可以开始食用一些稍微硬一点的食物,比如煎蛋、煮蔬菜等等,但是需要注意不要咀嚼食物的那一侧嘴巴。
2. 洗漱方面:在手术后的前24小时内,你需要避免使用漱口水或者漱口液,以免干扰口腔的愈合。在手术后的第二天,你可以开始使用温水漱口,但是需要避免用力漱口。
3. 运动方面:在手术后的前24小时内,你需要避免剧烈运动,以免增加口腔出血的风险。在手术后的第二天,你可以适当进行一些轻微的运动,比如散步。
四、种牙微创手术后的恢复期是多久?
虽然种牙微创手术后的恢复时间通常需要1到2周的时间,但是恢复期可能需要更长的时间。恢复期与手术的复杂程度、患者的年龄、患者的身体状况以及患者的饮食习惯等等因素有关,恢复期需要4到6个月。
在恢复期内,你需要注意以下几点:
1. 饮食方面:在恢复期内,你需要避免食用过硬、过咸、过甜的食物,以免影响口腔的愈合。你还需要避免食用酒精和刺激性的食物,比如辣椒和咖啡等等。
2. 洗漱方面:在恢复期内,你需要定期使用漱口水或者漱口液,以保持口腔的清洁。你还需要定期去牙医那里做口腔检查,以确保你的牙齿恢复良好。
3. 运动方面:在恢复期内,你需要避免剧烈运动,特别是那些会增加口腔出血风险的运动,比如篮球和足球等等。
种牙微创手术是一种非常流行和有效的牙齿恢复方式。虽然手术后的恢复时间和恢复期因人而异,但是只要你按照医生的指示进行护理,就可以确保你的牙齿恢复得越来越好。如果你有缺失的牙齿,建议你考虑一下种牙微创手术,它可以帮助你重获美丽微笑,提高你的口腔健康水平。