牙齿是我们嘴巴里的小宝贝,它们不仅帮助我们咀嚼食物,还起到了美化我们笑容的作用。随着年龄的增长,牙齿问题也会逐渐出现,其中之一就是牙龈萎缩。牙龈萎缩会导致牙齿松动,甚至会掉落,这对我们的口腔健康和自信心都是一种巨大的挑战。

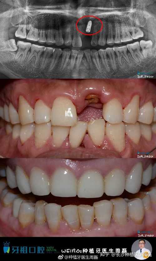
为了解决牙龈萎缩带来的问题,种植牙成为了一种常见的治疗方法。种植牙是将人工牙根植入牙槽骨中,然后再安装上牙冠,以取代缺失的牙齿。它不仅能够解决牙龈萎缩带来的影响,还能够恢复咀嚼功能和美观。

那么,你可能会好奇,以牙龈萎缩种植牙的使用寿命有多久呢?

我们需要明确一点,种植牙并非一劳永逸的解决方案。种植牙的使用寿命与多个因素有关,包括患者的口腔卫生习惯、种植牙的质量和材料、患者的整体健康状况等等。无法给出一个准确的数字来回答这个问题。
根据临床经验和研究数据,通常情况下,良好的种植牙可以使用十年甚至更长时间。这并不意味着所有的种植牙都能够达到这个寿命。一些患者可能由于种植牙周围的炎症或感染等问题,导致种植牙的寿命缩短。保持良好的口腔卫生和定期检查是至关重要的。
除了个人口腔卫生习惯外,种植牙的质量和材料也会影响其使用寿命。目前市场上有多种种植牙材料可供选择,包括钛合金、氧化锆和陶瓷等。这些材料各有优缺点,价格也有所不同。如果你对价格有所关注,那么你可以在选择种植牙材料时咨询牙医,了解不同材料的价格区间。
除了种植牙的质量和材料,患者的整体健康状况也会对种植牙的使用寿命产生影响。一些慢性疾病,如糖尿病、心脏病等,会增加种植牙的失败风险。在进行种植牙手术前,医生会对患者进行全面的身体检查,以确保患者的身体状况适合进行手术。
以牙龈萎缩种植牙的使用寿命是可以比较长久的,但并非永久。保持良好的口腔卫生、选择高质量的种植牙材料以及保持良好的身体健康状况,都是延长种植牙寿命的关键。如果你正考虑进行种植牙手术,不妨咨询专业牙医,了解更多关于种植牙的信息和建议。
记住,牙齿是我们生活中重要的一部分,保持口腔健康是每个人应该关注的事情。无论是牙龈萎缩还是其他牙齿问题,及时治疗和保持良好的口腔卫生习惯都是保持健康笑容的关键。让我们一起关注口腔健康,拥有健康美丽的牙齿吧!