你是否曾经因为自己的牙齿问题而感到困扰?是不是一直羡慕那些拥有完美笑容的人?或许你已经尝试过各种方法,但仍然没有达到满意的效果。不要灰心!现在有一种方法可以帮助你重塑完美笑容,那就是种植牙整形。

种植牙整形是一种通过植入人工牙根来恢复牙齿缺失的方法。它不仅可以解决牙齿缺失的问题,还可以改善牙齿的外观,让你拥有自信的笑容。

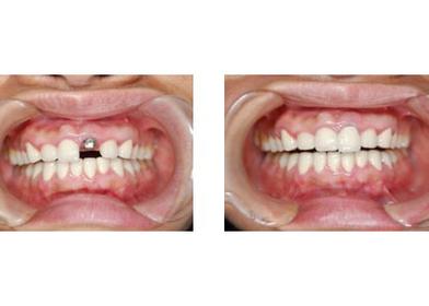
那么,你可能会好奇,种植牙整形到底是如何实现的呢?医生会进行一系列的检查和评估,确定你是否适合进行种植牙整形。接下来,医生会在你的牙床骨上植入人工牙根,这个过程需要经过一段时间的愈合。一旦人工牙根与牙床骨完全结合,医生会在其上安装牙冠,使之与你的自然牙齿完美融合。

通过种植牙整形,你可以重塑完美笑容。无论是单颗牙齿缺失,还是多颗牙齿缺失,种植牙整形都可以提供有效的解决方案。而且,种植牙整形的效果非常自然,人们很难察觉你的牙齿是人工修复的。
你可能会担心种植牙整形的价格问题。实际上,种植牙整形的价格会根据个人的牙齿情况和所在地区而有所不同。单颗种植牙的价格在几千到万元不等。如果你需要多颗牙齿修复,价格可能会更高。在选择种植牙整形之前,最好先咨询专业医生并了解清楚价格情况。
价格只是一个方面,种植牙整形所带来的自信和美丽是无法估量的。想象一下,当你拥有一口完美的牙齿时,你会如何展现自己的笑容?无论是在工作场合还是社交活动中,你都可以自信地展示出自己的笑容,赢得更多的关注和赞美。
通过种植牙整形,你可以摆脱牙齿问题的困扰,拥有一口健康美丽的牙齿。不再因为牙齿缺失而感到自卑,不再因为笑容不自信而错过机会。种植牙整形让你重拾自信,展现完美笑容。
现在,你已经了解了种植牙整形的重要性和价值。不要再犹豫,赶快行动起来,找到一位专业的牙医咨询,并开始你的种植牙整形之旅。相信我,当你拥有一口完美笑容时,你会感到无比的满足和自豪!