种植牙半口桥架是一种现代化的修复方法,可以让牙齿缺失的人焕然一新,拥有自信的笑容。本文将从多个方面详细阐述种植牙半口桥架的优势,包括美观度、舒适度、耐用度、维护便利度、价格等。相信读者对种植牙半口桥架有了更全面的了解,能够更好地选择适合自己的修复方式。

1、美观度
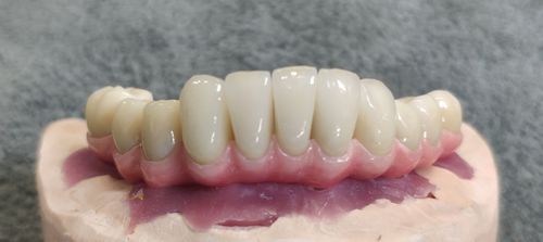
种植牙半口桥架与传统的义齿相比,美观度更高。它能够完美地融入口腔,与自然牙齿一样,形态与颜色也与周围牙齿相似,让人感觉非常自然。这种修复方式能够让缺失的牙齿得到良好的修复,让人的嘴巴焕发出新的笑容。

与其他修复方式相比,种植牙半口桥架的美观度更加突出。无论是在社交场合还是在日常生活中,它都能让人拥有自信的笑容,让人更加美丽自信。

种植牙半口桥架的材料非常安全,不存在对人体的副作用,也不会对周围的牙齿造成影响。它的修复效果非常好,能够帮助人们恢复美丽的笑容。
2、舒适度
种植牙半口桥架的舒适度也是它的一大优势。它使用的是高科技材料,不仅质地轻巧,而且结实耐用,不会对口腔造成过多的负担。种植牙半口桥架的基底是由轻质高强度金属或纯钛制成,更加人性化的设计,能够最大程度地减少对口腔的刺激,让人感到非常舒适。
种植牙半口桥架的形状与周围牙齿相似,非常符合人体工程学设计,能够非常好地适应口腔环境,减少对口腔软组织的压迫,让人感到非常舒适。在使用中,种植牙半口桥架的稳定性也非常好,不会产生松动或异物感,让人感到非常自然。
3、耐用度
种植牙半口桥架的耐用度也是它的一大优势。它使用的是高质量的材料,能够承受较大的压力,不易损坏。而且,种植牙半口桥架的修复效果非常好,能够长时间保持良好的状态。
与传统的义齿相比,种植牙半口桥架的耐用度要高得多。它的寿命能够达到10年以上,对于年轻人而言,甚至可以使用一生。这种优越的耐用度,不仅让人们省去了不断更换义齿的麻烦,同时也节省了不少费用。
4、维护便利度
种植牙半口桥架的维护便利度也是它的一大优势。它的设计非常合理,不仅易于清洁,而且不会对周围的牙齿造成影响。与传统义齿相比,种植牙半口桥架的清洁也非常方便,只需要像正常牙齿一样刷牙、漱口,就可以保持口腔的清洁卫生。
种植牙半口桥架的维护也非常简单。只需要定期到专业的口腔医院进行检查和保养就可以了。在保养方面,种植牙半口桥架与天然牙齿几乎一样,只要注意口腔卫生,避免过度咬硬物,就能够保持长久的使用寿命。
价格
种植牙半口桥架的价格因地区、材料、牙医经验等方面而有所不同,价格在10000元至20000元之间。虽然价格相对较高,但是通过上述的介绍,我们可以看到,种植牙半口桥架具有很多优越的性能,不仅能够让我们拥有美丽自信的笑容,而且能够长期保持良好的使用效果。种植牙半口桥架是一种非常值得投资的修复方式。
通过上述的介绍,我们可以看到,种植牙半口桥架是一种非常优秀的修复方式。它具有美观度高、舒适度好、耐用度高、维护便利等多种优点。虽然价格相对较高,但是通过投资,我们可以拥有美丽自信的笑容,长期保持良好的使用效果。如果您需要修复缺失的牙齿,不妨考虑种植牙半口桥架,让自己焕然一新。