摘要内容:牙龈萎缩是一种常见的牙齿问题,它会使牙龈组织收缩,暴露出牙齿根部,导致牙齿松动,出现牙缝。那么,牙龈萎缩可以补牙缝吗?牙龈萎缩能否修复填充呢?本文将从多个方面对这一问题进行详细阐述。

1、牙龈萎缩的原因
牙龈萎缩的原因有很多种,其中最主要的原因是牙周病。牙周病是一种由细菌引起的口腔疾病,它会导致牙龈发炎,长期不治疗会导致牙龈萎缩。还有一些其他的原因,比如长期使用劣质的牙刷或牙膏、过度刷牙、吸烟等。

2、牙龈萎缩的危害
牙龈萎缩会对口腔健康造成很大的危害,首先是会导致牙齿松动,出现牙缝,影响美观。牙龈萎缩会暴露出牙齿根部,使牙齿更容易受到刺激,引发疼痛。最严重的是,牙龈萎缩会导致牙齿脱落,严重影响咀嚼和说话功能,甚至会影响整个身体的健康。

3、治疗牙龈萎缩
治疗牙龈萎缩的方法有很多,其中最常见的是手术治疗。手术治疗的原理是通过移植牙龈组织或软组织,来填补牙龈萎缩的部位,达到修复的效果。还有一些非手术治疗方法,比如使用牙龈增生剂、使用特殊的牙刷、改变刷牙方式等。
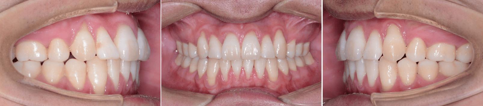
4、牙龈萎缩能否补牙缝
牙龈萎缩会导致牙齿出现缝隙,这时候是否可以通过补牙缝的方式来修复呢?答案是可以的。常见的方法有两种,一种是使用牙齿矫正器来调整牙齿的位置,使牙缝消失。另一种是使用牙冠来覆盖牙齿表面,遮盖住牙缝,达到修复的效果。
5、牙龈萎缩能否修复填充
对于牙龈萎缩而导致的牙齿缺损,可以采用牙齿修复的方法进行填充。常见的方法有两种,一种是使用牙齿填充物进行填充,比如树脂或陶瓷填充物。另一种是使用牙冠进行修复,将牙冠套在牙齿上,达到修复的效果。
我们了解到牙龈萎缩会对口腔健康造成很大的危害,但是我们也可以通过手术或非手术治疗的方法来修复。牙龈萎缩也可以通过补牙缝或填充的方式进行修复,但是具体的治疗方法需要根据个人情况来确定。
及时治疗牙龈萎缩是非常重要的,不仅可以保护口腔健康,还可以提高生活质量,让我们的笑容更加自信灿烂。