以牙周袋怎么去除小窍门—牙周袋去除小窍门:有效解决困扰的方法

牙周袋是一种常见的牙周疾病,它是由于牙齿周围牙龈组织的炎症引起的。牙周袋的存在给我们的口腔健康带来了很大的困扰,了解如何有效去除牙周袋是非常重要的。本文将为大家介绍一些有效的方法,帮助你解决这个问题。

1. 彻底的口腔卫生

牙周袋的形成与牙齿周围的细菌感染有关。保持良好的口腔卫生是解决牙周袋问题的重要一步。每天刷牙两次,使用牙线或间隙刷清洁牙齿之间的空隙,使用漱口水杀灭细菌是必不可少的。定期到牙医那里进行口腔清洁和检查也是非常重要的。
2. 牙周袋清洁
除了日常口腔卫生之外,清洁牙周袋也是非常关键的。可以使用牙周袋冲洗器或者牙周袋冲洗器来进行清洁。先用温盐水漱口,然后用牙周袋冲洗器或牙周袋冲洗器将温盐水注入牙周袋中,帮助清除污垢和细菌,并促进牙周组织的愈合。
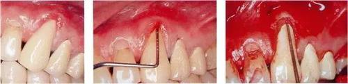
3. 牙周袋手术
对于深度较大的牙周袋,手术是一个常见的治疗方法。在手术中,牙医会清理牙周袋内的细菌和污垢,并修复受损的牙周组织。手术后,患者需要定期到牙医那里进行复查,并保持良好的口腔卫生。
4. 牙周袋药物治疗
除了手术之外,药物治疗也是一个有效的方法来去除牙周袋。常用的药物有抗菌药物、抗炎药物和牙龈修复药物。这些药物可以通过口服、局部涂抹或直接注入牙周袋中使用。使用药物治疗时,应该根据医生的指导来使用,并定期复查。
5. 牙周袋牙刷
牙周袋牙刷是一种专门设计用于清洁牙周袋的牙刷。它的刷毛较长,可以进入牙周袋进行清洁。使用牙周袋牙刷时,应该注意正确的刷牙技巧,以避免对牙龈造成损伤。
6. 牙周袋按摩
牙周袋按摩是一种帮助牙周袋愈合的方法。可以用手指轻轻按摩牙周袋周围的牙龈,促进血液循环和牙周组织的愈合。按摩时要注意力度适中,避免过度刺激。
以上就是一些有效去除牙周袋的方法。通过保持良好的口腔卫生,定期到牙医那里进行口腔清洁和检查,以及采取适当的治疗方法,我们可以有效地解决牙周袋问题,保持口腔健康。希望本文对你有所帮助!