门牙松动是一种常见的口腔问题,它可能会导致口腔不舒服,影响咀嚼和口腔美观。那么,如何解决门牙松动的问题呢?本文将从多个方面介绍门牙松动的原因及固牙的方法,帮助您更好地了解和解决这个问题。

1、门牙松动的原因
门牙松动的原因有很多种,以下是其中几种常见的原因:

(1)牙周炎:牙周炎是一种口腔疾病,它会导致牙龈发炎、牙齿松动等症状。

(2)牙齿受伤:比如咬硬物、意外撞击等,都有可能导致门牙松动。
(3)龋齿:如果门牙有龋齿,那么它们就更容易松动。
2、门牙松动怎么办?
面对门牙松动的问题,我们可以采取以下措施来解决它:
2.1、口腔清洁
牙周炎是导致门牙松动的主要原因之一,因此保持口腔清洁非常重要。我们应该定期刷牙、使用牙线、漱口水等清洁口腔,减少细菌的滋生。
2.2、戒酒
和酒精对口腔健康有很大的危害,它们可能会导致牙周炎、牙齿脱落等问题。如果您有吸烟或饮酒的习惯,应该尽快戒掉。
2.3、牙齿矫正
如果门牙松动的原因是牙齿不齐,那么我们可以通过牙齿矫正来解决问题。牙齿矫正可以让牙齿排列更整齐,减少牙齿之间的空隙,从而减少门牙松动的概率。
2.4、种植牙
如果门牙已经松动到无法挽救的程度,那么我们可以考虑进行种植牙手术。种植牙是一种牙齿修复的方法,它可以让新的牙齿植入口腔,取代松动的牙齿。
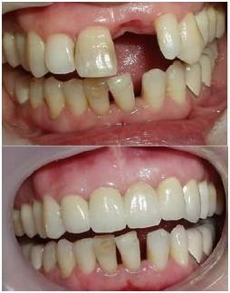
3、固牙有哪些方法?
面对门牙松动的问题,固牙是一个非常重要的解决方法。以下是几种常见的固牙方法:
3.1、烤瓷牙
烤瓷牙是一种通过人工修饰牙齿外形、大小、颜色等来美化牙齿的方法。在这个过程中,医生会将烤瓷牙粘贴在门牙上,从而固定门牙。
3.2、牙套
牙套是一种牙齿矫正的方法,它可以通过牙套的力量来调整牙齿的位置。如果门牙松动的原因是牙齿不齐,那么我们可以通过牙套来修复牙齿,从而达到固牙的效果。
3.3、根管治疗
如果门牙松动的原因是牙髓感染,那么我们可以通过根管治疗来治疗牙髓感染。在这个过程中,医生会清洁门牙内部的牙髓,填充药物,从而达到固牙的效果。
4、总结
门牙松动是一种常见的口腔问题,它可能会导致口腔不舒服、影响咀嚼和口腔美观。我们可以通过保持口腔清洁、戒酒、牙齿矫正、种植牙等方法来解决门牙松动的问题。我们也可以通过烤瓷牙、牙套、根管治疗等方法来固牙。希望本文能够对您解决门牙松动的问题有所帮助。