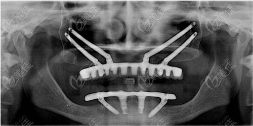
种植牙穿颧有没有后遗症?这是许多需要进行种植牙手术的人们所担心的问题。穿颧骨种植牙是一种比较复杂的手术,需要在颧骨(颧弓)骨质中进行植骨,以提供足够的支撑力。在穿颧骨种植牙的过程中,患者和医生都需要注意一些风险和注意事项。本文将从几个方面对种植牙穿颧有没有后遗症进行详细的阐述,帮助读者更好地了解穿颧骨种植牙手术。

1、穿颧骨种植牙的优点
穿颧骨种植牙是一种相对比较安全可靠的牙齿修复方式,具有以下优点:

1. 可以避免邻牙磨损,不会影响邻牙健康。

2. 可以提供牙齿更加牢固的支撑,不易脱落。
3. 具有美观、自然的外观,与真牙几乎一样,不会影响面部美观度。
4. 适用范围广,不受缺牙数量和位置的限制。
5. 植入体与牙齿骨质相容性好,不会引起排异反应。
2、穿颧骨种植牙的风险和注意事项
穿颧骨种植牙虽然具有许多优点,但是也存在一定的风险。在进行穿颧骨种植牙手术前,医生需要对患者进行全面的检查,以确定患者是否适合进行此项手术。以下是穿颧骨种植牙的风险和注意事项:
1. 龈内动脉损伤:颧骨穴位与龈内动脉相邻,手术时需要特别小心,以避免对龈内动脉造成损伤。
2. 颧骨骨质过于薄弱:如果患者颧骨骨质过于薄弱,可能会出现植入体松动、移位等问题。
3. 术后感染:穿颧骨种植牙手术后,需要患者定期前往医院检查,以避免感染。
4. 术后不适:穿颧骨种植牙手术后,患者可能会出现轻微的疼痛、肿胀等不适症状,这些症状通常会在几天内消失。
5. 骨质粘连:患者在进行手术后,可能会出现颧骨骨质粘连的情况,这种情况可能会影响植入体的稳定性。
3、穿颧骨种植牙的费用
穿颧骨种植牙的费用相对较高,因为这是一项比较复杂的手术,需要使用高端的设备和材料。手术的难度也较大,需要有经验丰富的医生进行操作。穿颧骨种植牙的费用在20000-50000元之间,具体费用还需要根据患者的具体情况进行评估。
4、穿颧骨种植牙的注意事项
在进行穿颧骨种植牙手术前,患者需要注意以下事项:
1. 患者需要提前到医院进行全面检查,以确定是否适合进行此项手术。
2. 手术前需要进行口腔清洁,避免口腔细菌感染。
3. 手术后需要遵守医生的建议,注意口腔卫生,避免感染。
4. 手术后需要注意饮食,避免食用过硬、过热、过冷的食物。
5. 手术后需要定期前往医院检查,以确保植入体的稳定性。
穿颧骨种植牙是一项比较复杂的手术,虽然具有许多优点,但是也存在一定的风险。在进行穿颧骨种植牙手术前,患者需要全面了解手术的风险和注意事项,以确保手术的成功率和安全性。患者也需要选择有经验、专业的医生进行手术,以提高手术的成功率和治疗效果。
穿颧骨种植牙的费用相对较高,需要根据患者的具体情况进行评估。在进行手术前,患者需要注意口腔清洁、饮食等事项,手术后需要遵守医生的建议,定期前往医院检查,以确保手术的效果和稳定性。