牙齿是我们面部的一部分,它们不仅仅是用来咀嚼食物的工具,还是我们美丽笑容的重要组成部分。有些人的牙齿并不完美,它们可能过于拥挤或者间隙过大,需要进行矫正。而矫正牙齿扩弓就是一种常见的矫正方法。那么,矫正牙齿扩弓究竟有哪些利弊呢?让我们一起来解析一下。

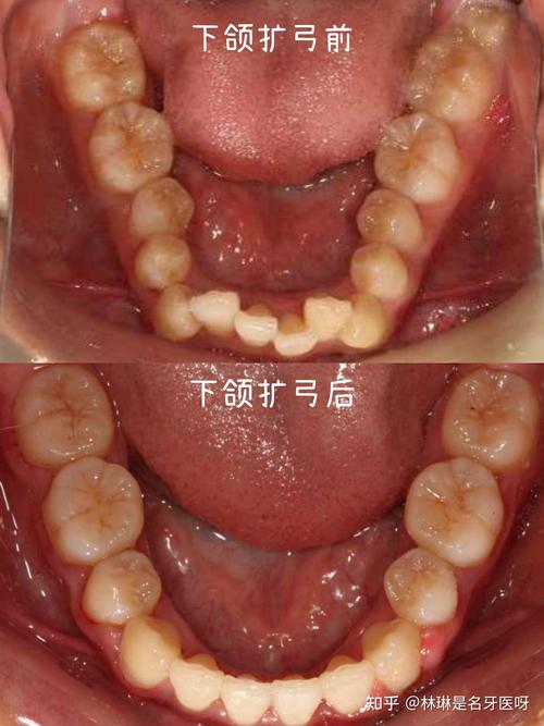
让我们了解一下矫正牙齿扩弓的原理。矫正牙齿扩弓是通过应用一定的力量,在牙齿之间创造一定的间隙,使牙齿的排列变得更加均匀。这个过程需要经过一段时间的持续治疗,通常需要几个月甚至更长的时间。这种方法的确可以帮助人们获得更加美丽的笑容。

在讨论矫正牙齿扩弓的利弊之前,我们先来看看这种方法的优点。矫正牙齿扩弓可以有效地改善牙齿的排列,使其变得更加均匀。对于那些有拥挤牙齿或者间隙过大的人来说,这是一个非常好的选择。矫正牙齿扩弓可以提高咀嚼功能,改善口腔健康。牙齿排列不齐可能会导致咀嚼不均匀,进而影响消化和口腔卫生。通过矫正牙齿扩弓,可以有效地解决这些问题。矫正牙齿扩弓还可以改善面部外观,使人们拥有更加自信的笑容,提升个人形象。

矫正牙齿扩弓也存在一些不足之处。这种方法需要进行一段时间的持续治疗,需要耐心和恒心。如果你不够坚持,可能无法达到预期效果。矫正牙齿扩弓需要一定的经济投入。价格因地区和牙医的不同而有所不同,但通常来说,这是一项相对昂贵的治疗方法。对于经济条件有限的人来说,可能需要斟酌是否选择这种方法。矫正牙齿扩弓还可能会引起一些不适。在矫正过程中,可能会感到牙齿疼痛或不适,有些人可能会出现口腔溃疡或牙龈出血等问题。
矫正牙齿扩弓在改善牙齿排列、提高口腔健康和美化面部外观方面具有很大的优势。需要注意的是,矫正牙齿扩弓需要耐心和经济投入,并可能会引起一些不适。在决定是否选择矫正牙齿扩弓时,我们需要充分考虑自身的情况和需求。
如果你对矫正牙齿扩弓的价格感兴趣,需要知道的是,矫正牙齿扩弓的价格因地区和牙医的不同而有所差异。通常来说,矫正牙齿扩弓的价格在几千到几万元之间。在选择牙医时,可以咨询多家牙医,对比价格和服务,选择适合自己的牙医。